Unser Leistungsspektrum
Unsere Leistungen im Bereich histopathologischer Diagnosen am Standort Nürtingen
Unser Ziel ist klar: Wir liefern histopathologische Diagnosen präzise und schnell. So stellen wir sicher, dass wir unserer Rolle als Lotse der Therapie gerecht werden. Das ist gut für die Zufriedenheit unserer klinischen Partner und Patienten, sowie für die Kosten-Effizienz der Behandlung. Wir setzen auf kontinuierliche Fort- und Weiterbildung auf allen Ebenen unserer Mitarbeiter. Wir erfüllen die wachsenden Ansprüche an eine prädiktive und prognostische Pathologie mit einem umfangreichen Panel an ergänzenden Zusatzuntersuchungen. Und das alles wird klar als von Pathologen geführte Praxis ohne Investoren und Konzerne durchgeführt!
Standard- und histochemische Färbungen
Hämatoxylin-Eosion Färbung:
Angioinvasion eines follikulären Schilddrüsenkarzinoms
PAS-Färbung:
Regelhaftes absortives Epithel im Dünndarm
Elastica-van-Gieson-Bindegewebsfärbung:
Kapselpenetration eines follikulären Schilddrüsenkarzinoms
Masson-Trichrom Bindegewebsfärbung:
Beginnende perisinusoidale Fibrose in einer Steatohepatitis
Berliner Blau Reaktion (Eisennachweis):
Aberrante Eisenspeicherung in der Leber bei Hämochromatose
AE Färbung:
Natriumuratkristall-Nachweis in einem Gichttophus (polarisationsoptische Aufnahme)
Ladewig-Färbung:
blaue Darstellung von Kollagen
Giemsa-Färbung:
Standardfärbung in der hämatopathologischen Diagnostik zur Beurteilung von Knochenmark und lymphatischen Zellen
Alzianblau:
Anfärbung saurer Muzine, z.B. in Becherzellen einer Barrett-Metaplasie
Kongorot-Färbung:
Darstellung von Amyloid mit charakteristischer apfelgrüner Doppelbrechung in der Polarisationsmikroskopie
Metylenblau:
Nachweis einer Helicobacter pylori-Besiedelung der Magenschleimhaut
Chloracetatesterase-Reaktion:
Beurteilung der Granulopoese in der Knochenmarkdiagnostik
Gomori-Färbung:
Nachweis argentaffiner Strukturen wie Retikulinfasern
Hämatopathologie
Für die hämatopathologische Diagnostik steht ein breites Spektrum spezifischer histochemischer und immunhistochemischer Färbungen zur Verfügung. Die Materialprozessierung wurde insbesondere für Beckenkammtrepanate optimiert, um eine zuverlässige Diagnostik zu gewährleisten. Für komplexe Fällen, die eine erweitere immunhistochemische und molekularpathologische Beurteilung erforderlich machen, besteht eine gute Anbindung an das Referenzzentrum für Hämatopathologie des Universitätsklinikums Tübingen.
Immunhistochemische Färbungen für den Nachweis gewebe- und tumorspezifischer Proteine sowie zur Erregerdiagnostik (Panel von über 90 Antikörpern)
Erregernachweis:
Heliobacter pylori positive Gastritis
Tumordiagnostik:
Calcitonin-Expression in einem medullären Schilddrüsenkarzinom
Tumordiagnostik:
Aberrante Überexpression des Tumorsupressorproteins TP 53 in einer Knochenmetastase eines anaplastischen Schilddrüsenkarzinoms als Hinweis auf eine Mutation
Tumordiagnostik:
Verlust des Tumorsupressorproteins PTEN in einem glandulären Endometriumschleimhautpolypen mit endometrialer intraepithelialer Neoplasie (EIN/ Hyperplasie mit Atypien)
Prädiktive Tumordiagnostik:
Her2/neu-Überexpression in einem Mammakarzinom (NST)
Prädiktive Tumordiagnostik:
PD-L1 Expression in Makrophagen in einem Urothelkarzinom mit geringer Expression in den Tumorzellen
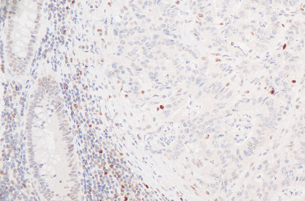
Prädiktive Tumordiagnostik:
Verlust des DNA-mismatch Reparaturproteins PMS2 in einem Kolonkarzinom (Mikrosatelliteninstabilität)
Zytologische Untersuchungen von Körperflüssigkeiten, Feinnadelpunktaten und Bürstenabstrichen (ggf. auch immunzytochemische Untersuchungen an Ausstrich- bzw. Zellblockmaterial)
Ascitespunktat mit Zellen eines gering differenzierten Adenokarzinoms (HE Färbung)
Ausstriche mit Nachweis von Karzinomzellen mit EpCAM Positivität (BerEP4 Antikörper) als Bestätigung der morphologischen Tumor-Diagnose
Gynäkologische Zytologie
Inhalte folgen in Kürze.
Molekularpathologische Untersuchungen
Anfang 2019 wurde, mit Herrn Prof. dr. B. Sipos als einer der Geschäftsführer, die Teil-Berufsausübungsgemeinschaft Molekularpathologie Baden-Württemberg GbR (kurz T-BAG Molpath BaWü) gegründet.
In enger Zusammenarbeit erfolgen dort unsere molekularpathologischen Untersuchungen.
Ausgestattet mit neusten und modernsten Gerätschaften, konnten wir die Qualität und Laufzeiten so noch deutlich erhöhen bzw. verkürzen.
Nähere Informationen finden Sie auf der Homepage der T-BAG Molpath BaWü
Schnellschnittuntersuchungen
Intraoperative Schnellschnittuntersuchung (Pankreasabsetzungsrand)
Sektionen
Die sogenannte klinische Obduktion dient der genauen Untersuchung der bei einem Verstorbenen vorliegenden Krankheitsveränderungen, insbesondere der Feststellung des zum Tode führenden Grundleidens sowie der Todesursache. Sie wird von entsprechend ausgebildeten Ärzten (Fachärzten für Pathologie) durchgeführt. Zur Durchführung der Obduktion ist eine Einverständniserklärung der Angehörigen erforderlich.
Den Sektionsantrag können Sie hier downloaden.
